Menú

Filtros

  • Resultados obtenidos en

Diagnostic Supplies - Hu-Friedy

Diagnostic Supplies - Hu-Friedy

Hu-Friedy's Colorvue® Line of Probes feature a distinct color-coding design, offering a reliable and efficient solution to evaluate a patient's periodontal status. Offering high contrast and varied color millimeter markings, it takes the strain out of the clinician's eyes offering better visibility in intra-oral structures. Colorvue® line's rounded resin tips provide the optimal level of flexibility which ensures a more comfortable patient experience. Colorvue® tips are ideal for the delicate implant attachments as well. As an extra plus, the tips provide greater value to the office as they can be replaced, and each tip can be sterilized and used up to 30 times!

Points of Performance:

  • Colorvue probes provide a fast and accurate evaluation of pocket depth and recession
  • The resin rounded tips are safe and gentle to use on all patients
  • The satin handle can be reused or recycled, offering a more sustainable instrumentation solution
  • Tips are marked with vivid yellow and black color codes, enhancing contrast to intraoral structures

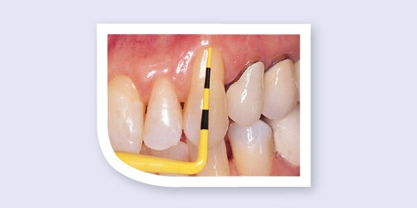
Stop Squinting to Read Pocket Depths

Stop Squinting to Read Pocket Depths

Compare the Colorvue probe to a standard metal probe. Colorvue's yellow tip with black markings provides superior contrast to the gingival tissue when measuring pocket depth.

Stop Squinting to Read Pocket Depths

5 mm of recession is easily assessed as a result of the excellent contrast between the Colorvue probe and exposed root surface. In addition, the Colorvue probe enhances measurement of periodontal attachment loss.

Tip Designs

Tip Designs

Colorvue tips are available in four popular tip designs. Markings will wear with normal use; simply dispose of the tip. Replacement tips are available in packs of 12. Tips last approximately 30 uses.

Tip Designs

COLORVUE PROBES feature the lightweight ergonomically-designed Satin Steel® handle for the balance, control and comfort you prefer.


Colorvue® PerioScreen Probes

The Perioscreen Probes are a great as screening probes, saving you both time and effort!

Hu-Friedy's Colorvue PerioScreen probe provides a fast and easy-to-use method of screening periodontal pocket depth prior to definitive probing. A universally understood color-coding of green and red indicates the absence or presence of periodontal disease. In addition, Colorvue PerioScreen features a metal handle that is not only more ergonomic but can also be reused or recycled. Only disposing of the plastic working end offers a “greener” instrumentation solution than other plastic probing systems.

Points of Performance:

  • Colorvue® PerioScreen probes provide a fast and accurate evaluation for screening periodontal pocket depth
  • The resin rounded tips are safe and gentle to use on all patients
  • The satin handle can be reused or recycled, offering a more sustainable instrumentation solution
  • Tips are marked with distinct red and green color codes, easy for differentiation

Colorvue® Biotype Probes

Biotype-based periodontal therapy is becoming more popular among clinicians as focus grows around maintaining the integrity and conservation of the patient's tissue. This therapy provides greater patient comfort and promotes optimal oral health. Hu-Friedy's one of a kind Colorvue BioType Probe system offers a reliable, high quality solution to gingival biotype evaluation. The Colorvue® Biotype Probe system makes it easy and painless to quickly classify your patients' biotype as thin, medium or thick, thus aiding you in your selection of the proper treatment protocol.

Points of Performance:

  • Colorvue® Biotype Probe tips are designed for up to 30 uses*
  • Colorvue Biotype Probes fit in Hu-Friedy's ergonomic, Satin Steel handle that can be reused or recycled
  • The resin tips are safe and gentle to use on all patients
  • Each colored tip is also numbered to aid in differentiation between colors

Colorvue® Goldstein Probe

The Colorvue® Goldstein probe is one of the most versatile probes available today. Offering more than just a single application, it an be used in multiple clinical procedures and applications including diagnostic, restorative as well as cosmetic dentistry.

Diagnostic Use: Precise probing can be a challenge due to lack of contrast and visibility. The measurements are typically in 3 mm increments. The new Colorvue probe was designed in 1/2 mm increments and extends up to 3 mm for increased accuracy especially in measuring sulcular depth for margin placement. The use of bright colors to differentiate these measurements makes the probing process much more efficient and accurate.

Restorative Use: When probing potential infrabony areas or for other defects, a standard metal probe can cause the patient noticeable discomfort. The Colorvue Goldstein probe features a narrow, flexible tip which alleviates this feeling of irritation allowing for a more positive patient.

Points of Performance:

  • Colorvue® Goldstein probes provide an efficient and accurate measurement of sulcular depth for margin placement
  • The narrow, flexible tips feature an ultimate comfort experience
  • The satin handle can be reused or recycled, offering a more sustainable instrumentation solution
  • Tips are marked with a more meticulous and distinct color codes, enhancing the contrast and visibility

Available in a starter kit with 1 Ergonomic Satin Steel handle and 7 tips and the 12 pack of replacement tips.


Colorvue® Oxford Probe

The two in one probe that is perfect for use on both implants and natural dentition helps you save both time and increase efficiencies.

The Colorvue Oxford Periodontal Probe from Hu-Friedy is designed specifically for dental implant patients, featuring a metal tip with Qulix™ markings on one end and a resin tip on the other end. This double-ended instrument does the job of two probes, thus taking up less space on your tray and allowing for full probing of the entire dentition with a single instrument.

Points of Performance:

  • Colorvue Oxford probes designed specifically for dental implants
  • The double-ended design with resin and metal tip improves the efficiency of entire dentition
  • The satin handle can be reused or recycled, offering a more sustainable instrumentation solution
  • Tips are marked with more meticulous and distinct color codes, enhancing contrast to intraoral structures

Pricing may vary after login.